Un egresado de la Universidad Nacional de Córdoba (UNC) diseñó un programa informático que, mediante inteligencia artificial, permite llevar a texto informes de estudios médicos, como radiografías y ecografías, lo que facilita el trabajo de los profesionales de la medicina.
Crean una herramienta informática que transcribe informes de imágenes de estudios médicos
Lucas Garay es egresado de la Universidad Nacional de Córdoba y presentó el programa en el marco de la tesis del trabajo final de la carrera de licenciado en Ciencias de la Computación, en la Facultad de Matemática, Astronomía, Física y Computación.

De acuerdo con información publicada este miércoles por la Agencia de Comunicación Pública de la Ciencia, el Arte y la Tecnología de la universidad (UNCiencia), se trata de un logro importante para la medicina, ya que la redacción de los informes es un proceso repetitivo y consume gran parte de la jornada laboral del equipo que trabaja en el área de diagnóstico por imágenes.
La iniciativa corresponde a la tesis del trabajo final, denominado "Procesamiento de imágenes médicas para generación automática de reporte", que realizó el estudiante Lucas Garay para obtener el título de licenciado en Ciencias de la Computación, en la Facultad de Matemática, Astronomía, Física y Computación (Famaf) de la UNC.
Garay explicó que, para crear la herramienta, utilizó una arquitectura provista para la descripción de imágenes genéricas y la aplicó al dominio médico para que genere automáticamente el informe médico.

En ese sentido destacó que la ventaja es que "puede reducir el trabajo que lleva a cabo el personal médico, que en lugar de redactar el informe completo se enfocará en revisar y modificar uno generado automáticamente".
El egresado, quien actualmente se desempeña en identificar imágenes médicas de los huesos de la pelvis en el Nanjing Technology Research Institute de China, explicó el etiquetado automático de imagen, "es el proceso mediante el cual un sistema informático asigna automáticamente metadatos en forma de subtítulos o palabras clave a una imagen digital".
Añadió que esa aplicación de técnicas de visión por computadora se utiliza en los sistemas de recuperación de imágenes para organizar y localizar imágenes de interés de una base de datos, también para resolver problemas de preguntas visuales, es decir, dada una fotografía y una pregunta sobre ella en lenguaje natural, la tarea es proveer una respuesta precisa también en lenguaje natural.

"A través del lenguaje natural lo que buscamos es que la computadora pueda entender nuestro lenguaje escrito y al mismo tiempo ella también lo pueda generar para que también lo entendamos", agregó.
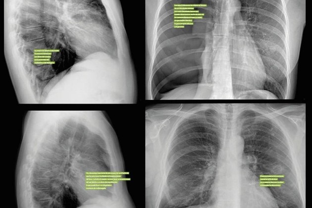
Garay utilizó una base de datos abierta compuesta de 3.851 radiografías de la Universidad de Indiana en Estados Unidos para "entrenar" a la red neuronal.
Según contó, la principal dificultad que debió resolver fue la escasez de datos, porque si bien se generan grandes volúmenes de imágenes y reportes, estos no siempre se encuentran disponibles libremente para su uso.
Asimismo, dijo que el desafío futuro es realizar transferencia de conocimiento o 'transfer learning' entrenando el modelo con un conjunto de datos en español, ya que por disponibilidad de datos, este modelo fue realizado en inglés.
Con información de Télam.







