Un yacaré que había sido rescatado el pasado viernes 8 de un sector urbano de Corrientes cuyos vecinos denunciaron que se había devorado un perro caniche, murió en las últimas horas y se desató una controversia entre conservacionistas por el trato dado al animal.
Después de tres días de búsqueda, dos conservacionistas de reptiles y anfibios que fueron alertados en las redes sociales lo encontraron en un zanjón a metros de la estación transformadora Corrientes Este.
Gentileza
Foto: Gentileza
Autoridades del Centro de Conservación Aguará apuntaron a los ambientalistas que lograron rescatar un yacaré en la zona de la escuela Eragia de la ciudad de Corrientes, en inmediaciones de la avenida Libertad y la Ruta Nacional 12. Aseguran que la captura se realizó con un anzuelo, lo que habría provocado la muerte del reptil.
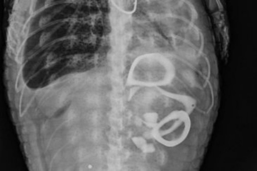
Divulgaron también una radiografía de la caja toráxica del yacaré, donde se visualizan varios elementos ingeridos.
Gentileza Radiografía del yacaré
Radiografía del yacaré Foto: Gentileza
Previamente,el director del centro de conservación de la fauna silvestre de Corrientes, Daniel Segovia, se comunicó con la rescatista para advertirle de una posible denuncia, en conjunto con la Dirección de Recursos Naturales, por la forma en que captaron al animal.
Junto a David Beber, el otro rescatista, Frank integra el "Proyecto Ñacaniná", una organización recientemente formada para la protección de la fauna anfibia y reptil de Corrientes. Ambos argumentan que el rescate del yacaré debía realizarse de forma inmediatamente ya que se encontraba en peligro de ser lastimado por los vecinos.