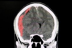
Diego Armando Maradona, actual entrenador de Gimnasia, arribó este martes por la tarde a la Clínica Olivos, donde será sometido esta noche a una cirugía a raíz de un hematoma subdural en la cabeza, luego de permanecer internado en un centro de salud de la ciudad bonaerense de La Plata.
Diego Maradona será operado por un edema en la cabeza

El ex futbolista fue trasladado en ambulancia, escoltado por custodia policial en medio del caos que generó la concentración de varias personas -entre ellas, muchos hinchas del "Lobo"- en la puerta de la Clínica Ipensa, ubicada en la calle 4 entre 59 y 60 de la capital bonaerense.

Al llegar al centro de salud, Maradona fue ingresado en una camilla, a la espera de la intervención que se desarrollará a partir de las 20:00 -aproximadamente- y se extenderá por alrededor de dos horas.
Según explicó su médico personal, Leopoldo Luque, quien será el encargado de llevar adelante la operación junto a su equipo, se trata de una "cirugía de rutina", por lo que Maradona "está muy tranquilo" y "de acuerdo" con la decisión, acompañado en el traslado por su hija Gianinna.
Luque es neurocirujano, formado en la Universidad de Buenos Aires y miembro de la Asociación Argentina de Neurocirugía y de la North American Spine Society.








