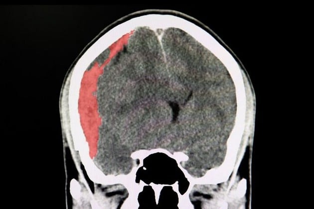
El hematoma subdural crónico se da entre la duramadre y el cerebro, y se pueden presentar por traumatismos de cráneo, algunos banales o por una desaceleración brusca, y se presentan en la parte externa del cerebro muchas veces en pacientes anticoagulados o antiagregados.
¿Qué es el hematoma subdural crónico que afecta a Diego Maradona?

En sí son como pequeñas venas que sufren una ruptura en la superficie del cerebro, pasa desapercibido y el hematoma con el tiempo progresa por la propiedad oncótica de la sangre que atrae líquido.
El tratamiento a seguir es el drenaje a través de dos agujeros de trepano e incluye un lavado del espacio subdural y luego dejar un drenaje para evitar que la sangre vuelva a formarse.
Al principio el paciente puede sentir dolor de cabeza u obnubilación y hasta movimientos realentizados, incluso puede tener reacciones un poco más lentas y trastornos psiquiátricos.

Si bien la operación no es compleja, se le realiza al paciente dos "agujeritos", y se lava con solución fisiológica, para que el drenaje permita que el cerebro se expanda y se pegue a la tabla interna.
En general, el post operatorio demanda dos días de internación en terapia intensiva, ya que a veces ingresa un poco de aire luego de la hematoma y eso debe reabsorberse.
Los pacientes no pueden viajar en avión por tres meses, no se puede agachar ni hacer movimientos bruscos, pero sobre todo primero hay que resolver el tema de la coagulación, ya que suprimir la anticoagulación también puede sufrir sus riesgos.
Técnicamente es algo sencillo, pero siempre una intervención quirúrgica conlleva el riesgo de una operación. Lo que se espera es que el cerebro se reexpanda y resolver la hipertensión endocraneana.
Por Patricio Besasso, médico neurocirujano (MN 83.831).










