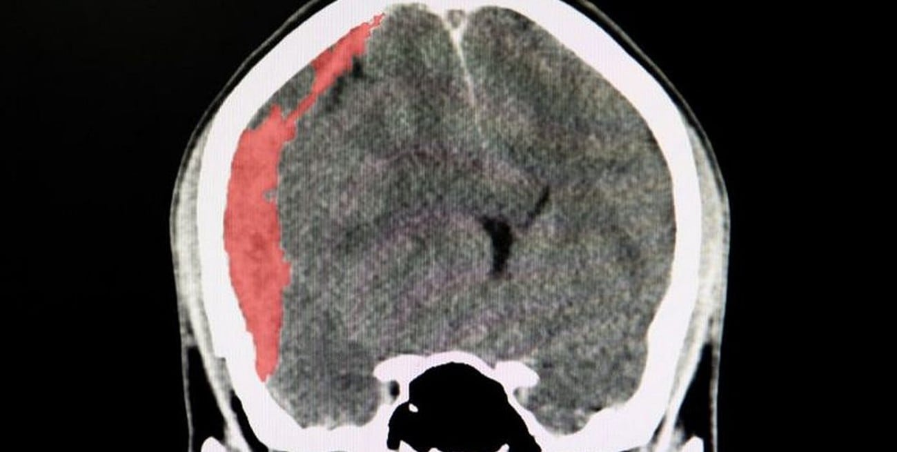
El hematoma subdural crónico se da entre la duramadre y el cerebro, y se pueden presentar por traumatismos de cráneo, algunos banales o por una desaceleración brusca, y se presentan en la parte externa del cerebro muchas veces en pacientes anticoagulados o antiagregados.


































