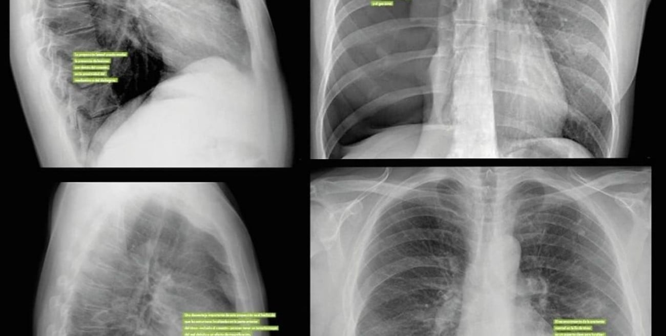
Un egresado de la Universidad Nacional de Córdoba (UNC) diseñó un programa informático que, mediante inteligencia artificial, permite llevar a texto informes de estudios médicos, como radiografías y ecografías, lo que facilita el trabajo de los profesionales de la medicina.



































